At Johns Creek Dental Associates, we provide comprehensive dental care for patients of all ages in a welcoming, modern environment. Dr. Hah Neul Choi and Dr. Jeffrey Chen combines extensive experience in pediatric and general dentistry with advanced training in cosmetic procedures, dental implants, and Invisalign clear aligner therapy to deliver exceptional care for your entire family. Whether you need a routine cleaning, a complete smile makeover, or gentle care for your children, our practice offers the personalized attention and clinical excellence you deserve.
We’re proud to serve the diverse Johns Creek community state-of-the-art technology, and a patient-centered approach that prioritizes your comfort and understanding. We serve advanced procedures and bring decades of clinical expertise in complex restorative procedures, including molar endodontics, immediate implants, and comprehensive smile makeovers.
From preventive care and pediatric dentistry to advanced restorative and cosmetic procedures, we’re your trusted partner for achieving the confident smile you’ve always wanted.
At Johns Creek Dental Associates, we provide comprehensive dental care for every member of your family. From preventive checkups to advanced cosmetic and restorative treatments, our experienced team uses modern technology and gentle techniques to help you achieve optimal oral health in a comfortable, welcoming environment.
Protect your smile with routine cleanings, exams, and preventive care designed to catch problems early and keep your teeth healthy for life. Our preventive services include professional cleanings, digital X-rays, oral cancer screenings, and fluoride treatments.
Transform your smile with our cosmetic dentistry services, including teeth whitening, porcelain veneers, and complete smile makeovers. Dr. Choi combines artistry with advanced techniques to create beautiful, natural-looking results that boost your confidence.
Restore function and beauty to damaged or missing teeth with our comprehensive restorative services. From dental implants and crowns to bridges and root canal therapy, we use the latest technology to provide durable, comfortable solutions.
Give your children a positive start to lifelong oral health with our gentle pediatric dentistry services. Dr. Choi's extensive pediatric background ensures your child receives compassionate, age-appropriate care in a friendly, stress-free environment.
At Johns Creek Dental Associates, we use Pearl AI technology to enhance the accuracy of dental X-ray analysis — helping us detect concerns earlier and provide more confident, precise care for every patient.
With state-of-the-art technology, we bring a blend of pediatric and general expertise and comprehensive dental care to our dental families. With a strong foundation in working with children and families, combined with advanced training in Invisalign, dental implants, and cosmetic dentistry, we create a welcoming environment where patients of all ages feel comfortable and confident. We’re dedicated to building lasting relationships with our patients and providing personalized care that addresses each family’s unique needs.
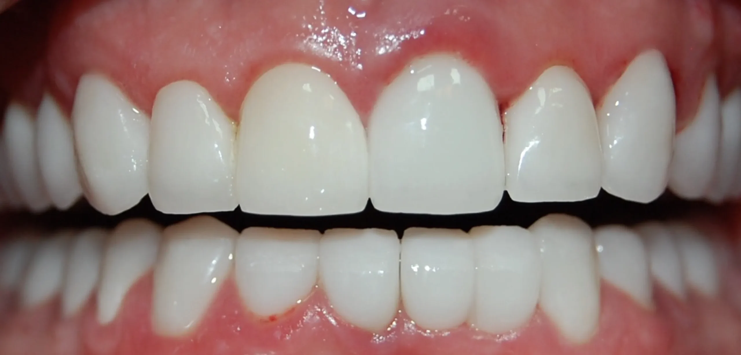
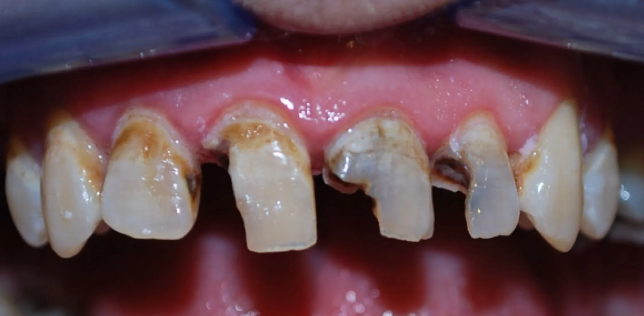
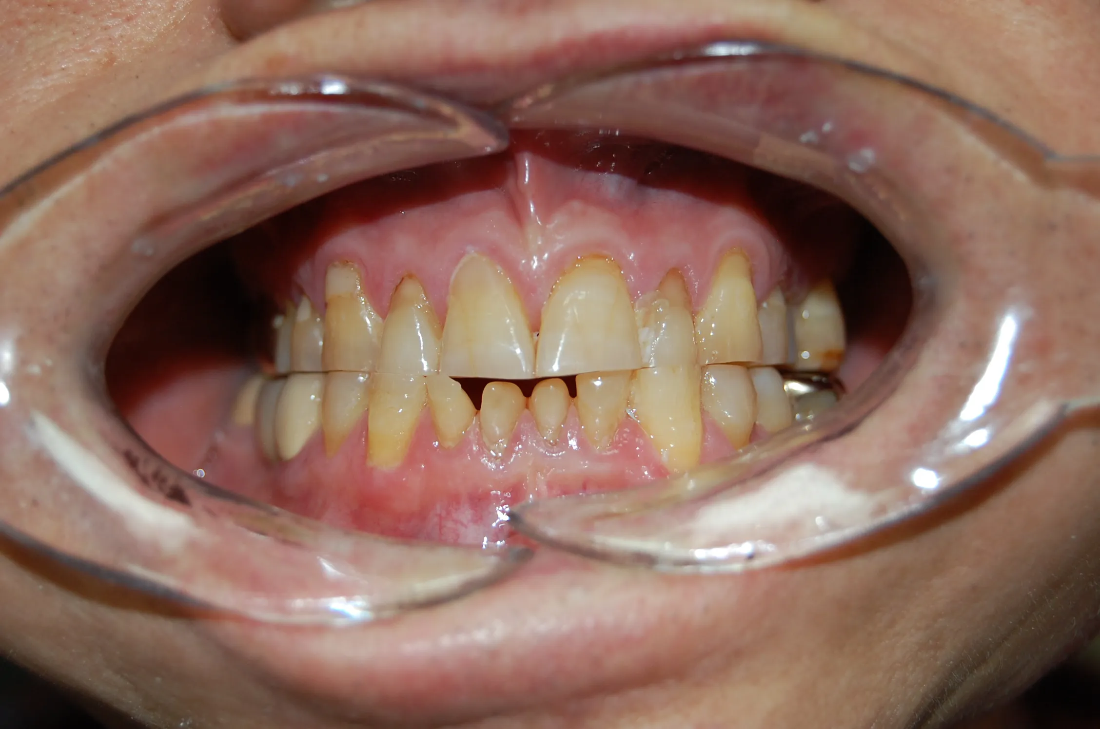
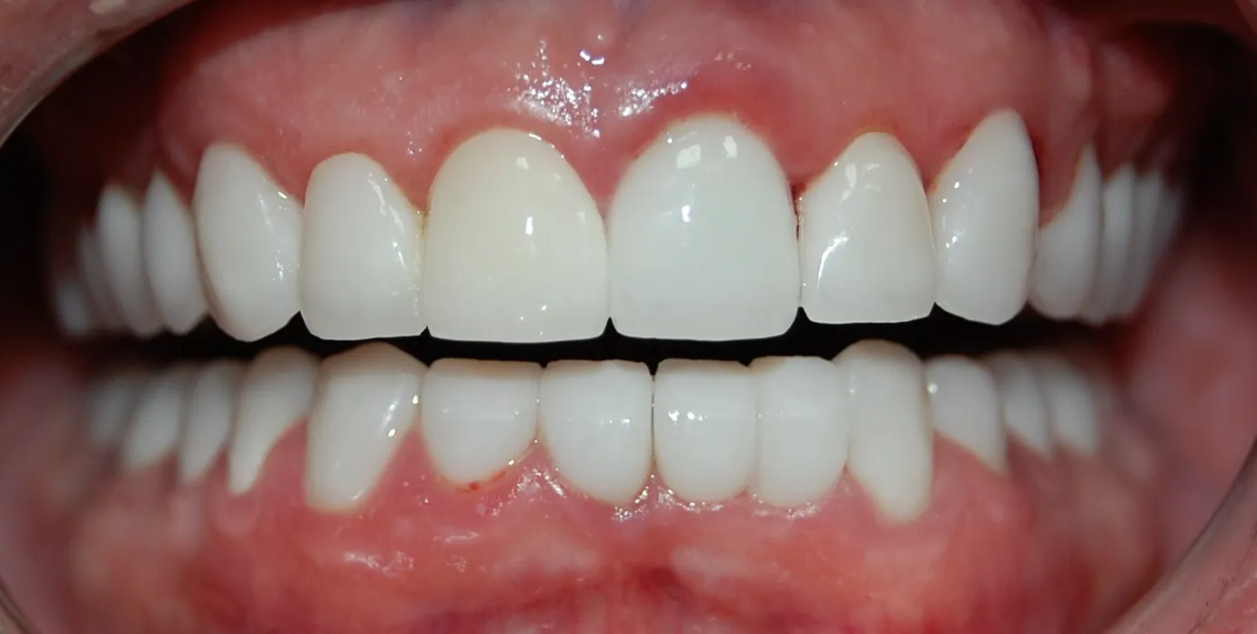
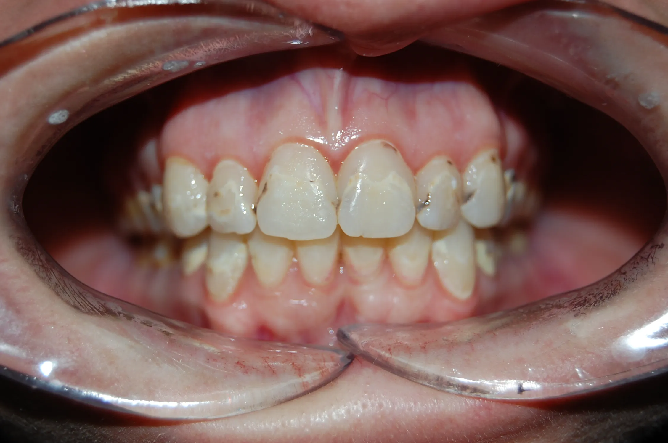
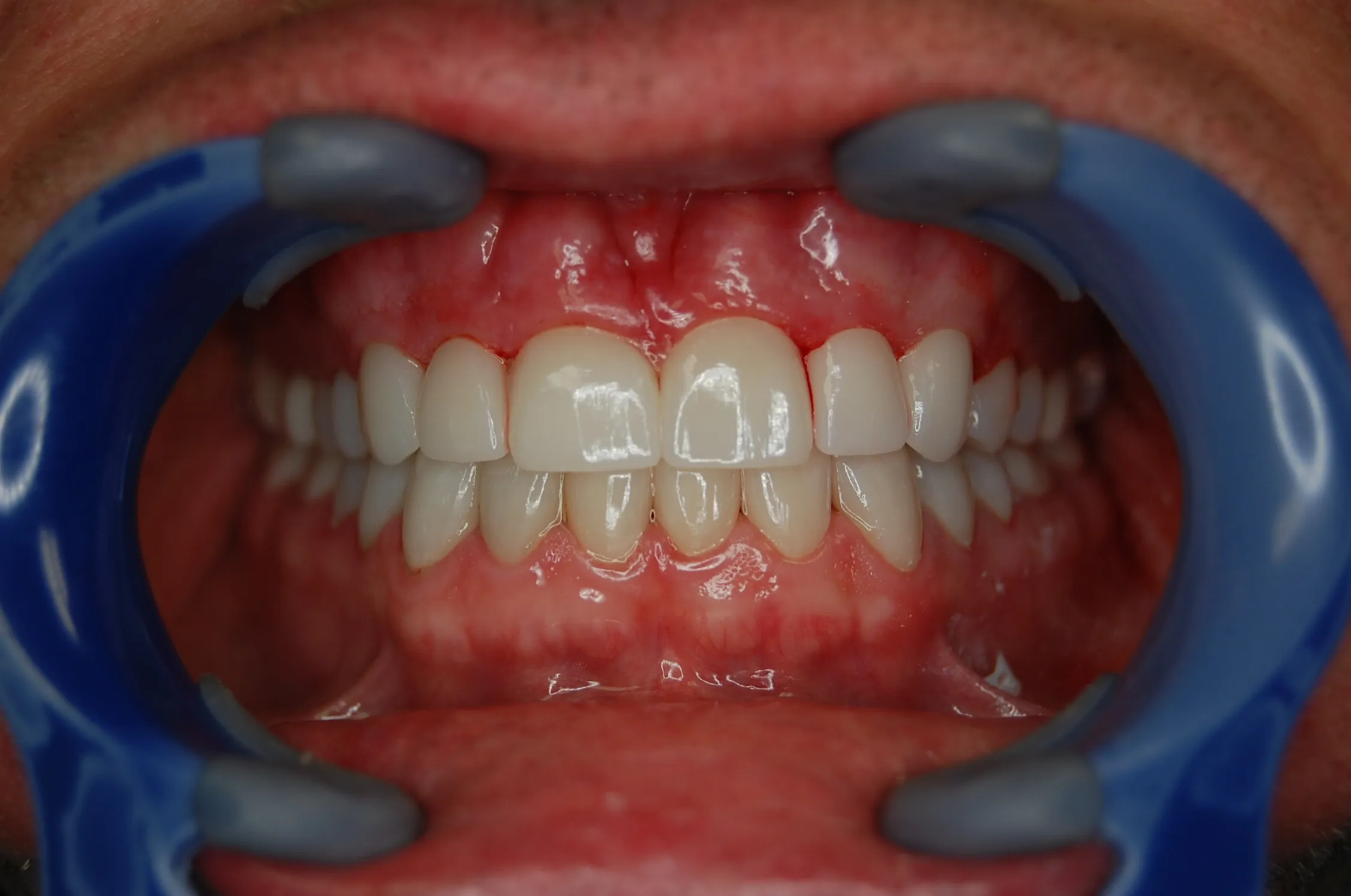
Procedure: Full mouth rehabilitation
Procedure: Full mouth Rehab
Procedure: Full mouth Rehab
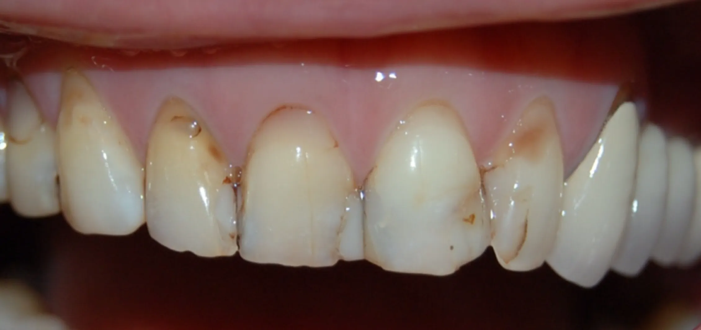
Procedure: Tooth colored bonding
Procedure: Bonding
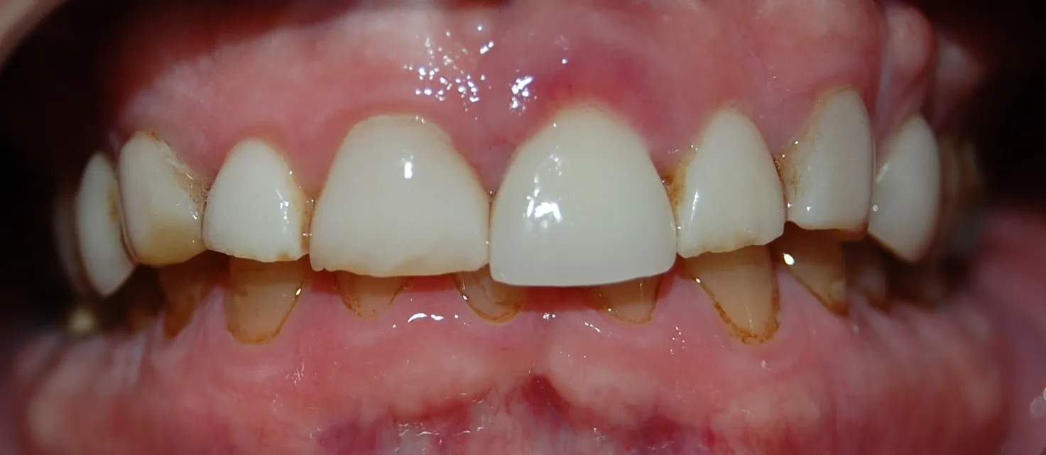
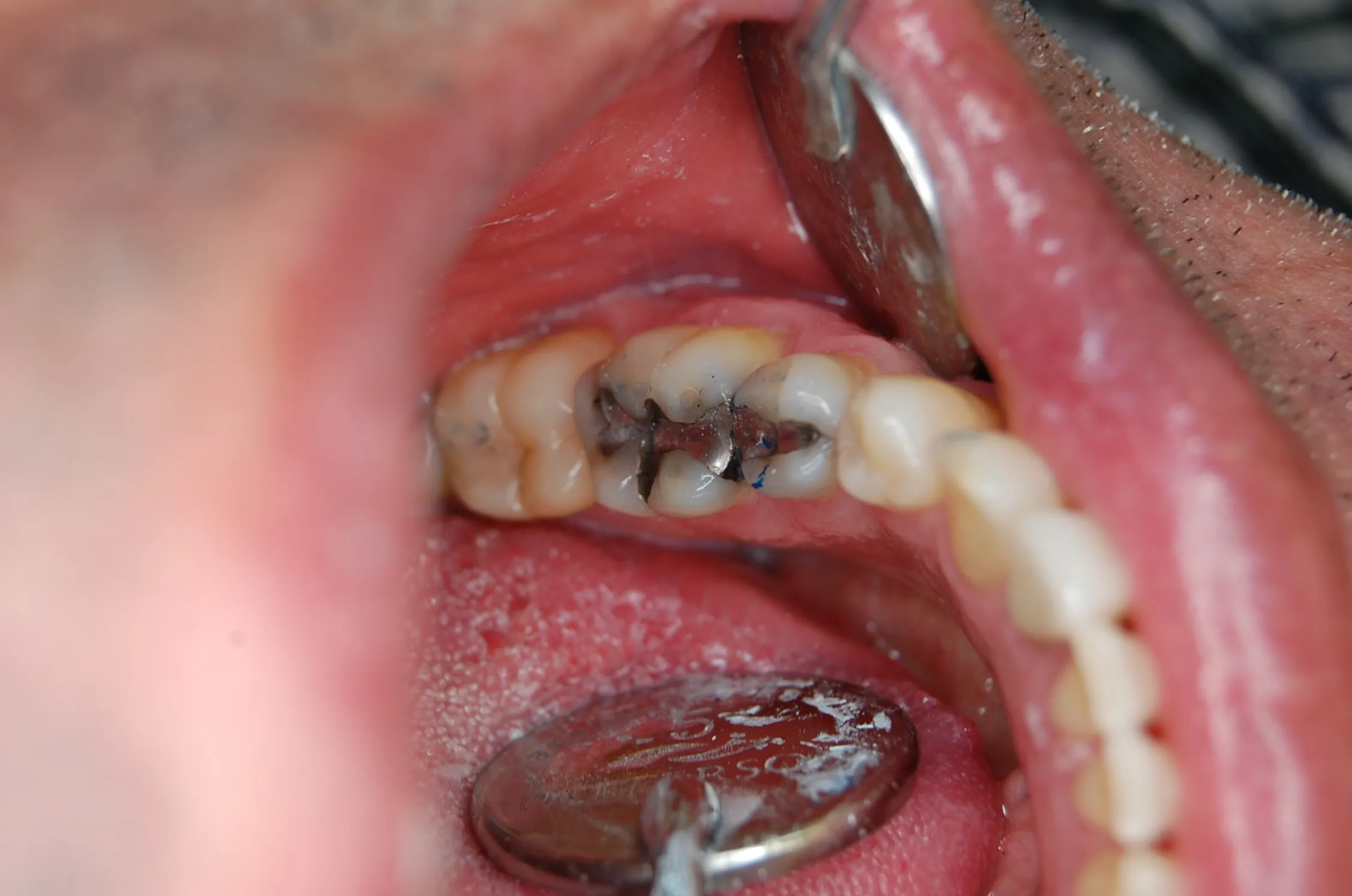
Procedure: Crowns
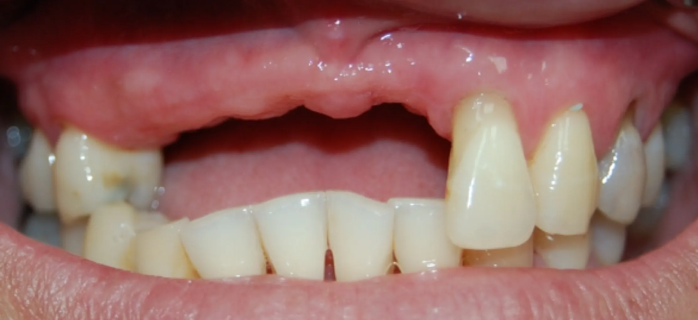
Procedure: Replacing crown
Procedure: Bridge
Procedure: Crown
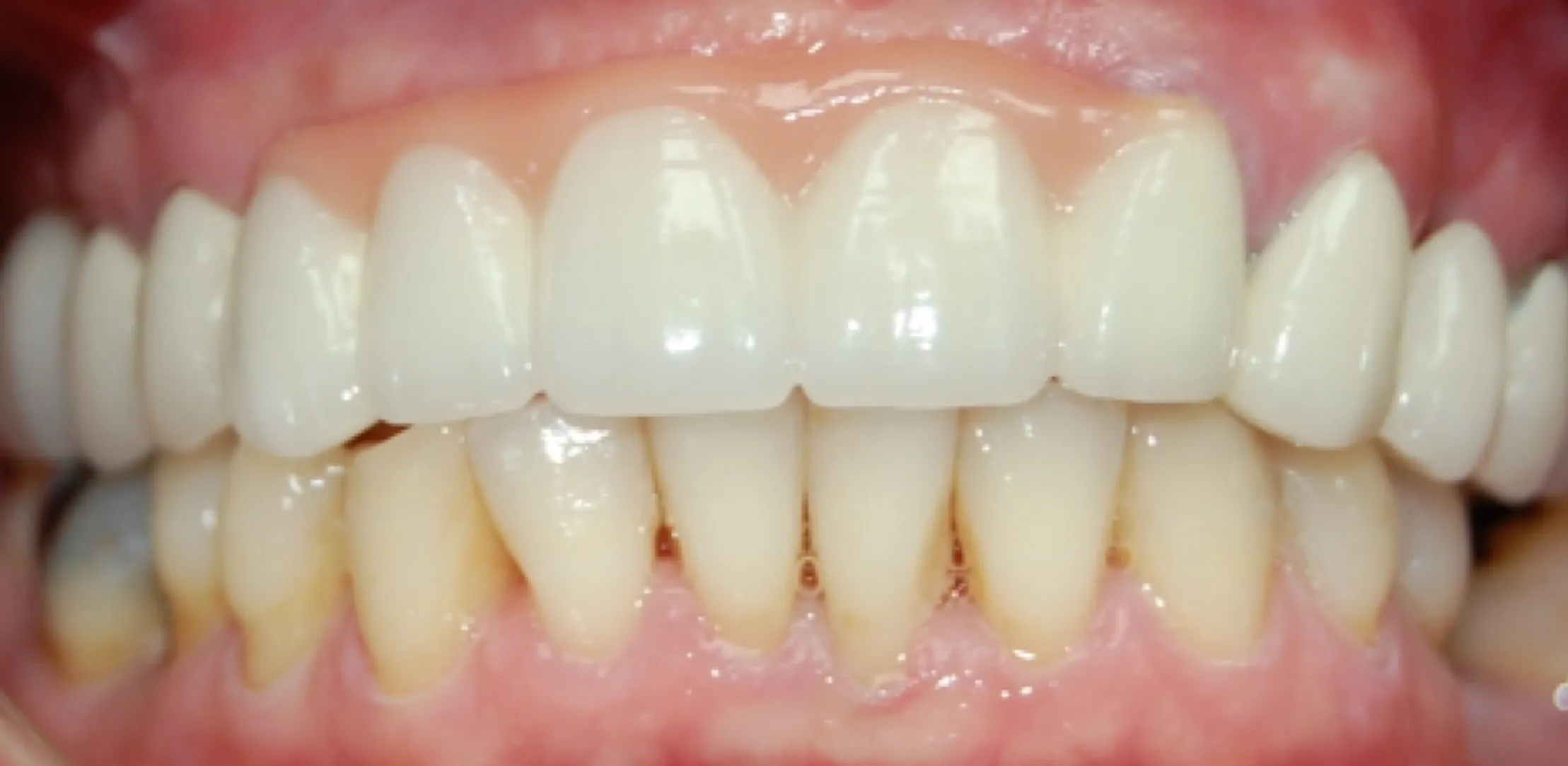
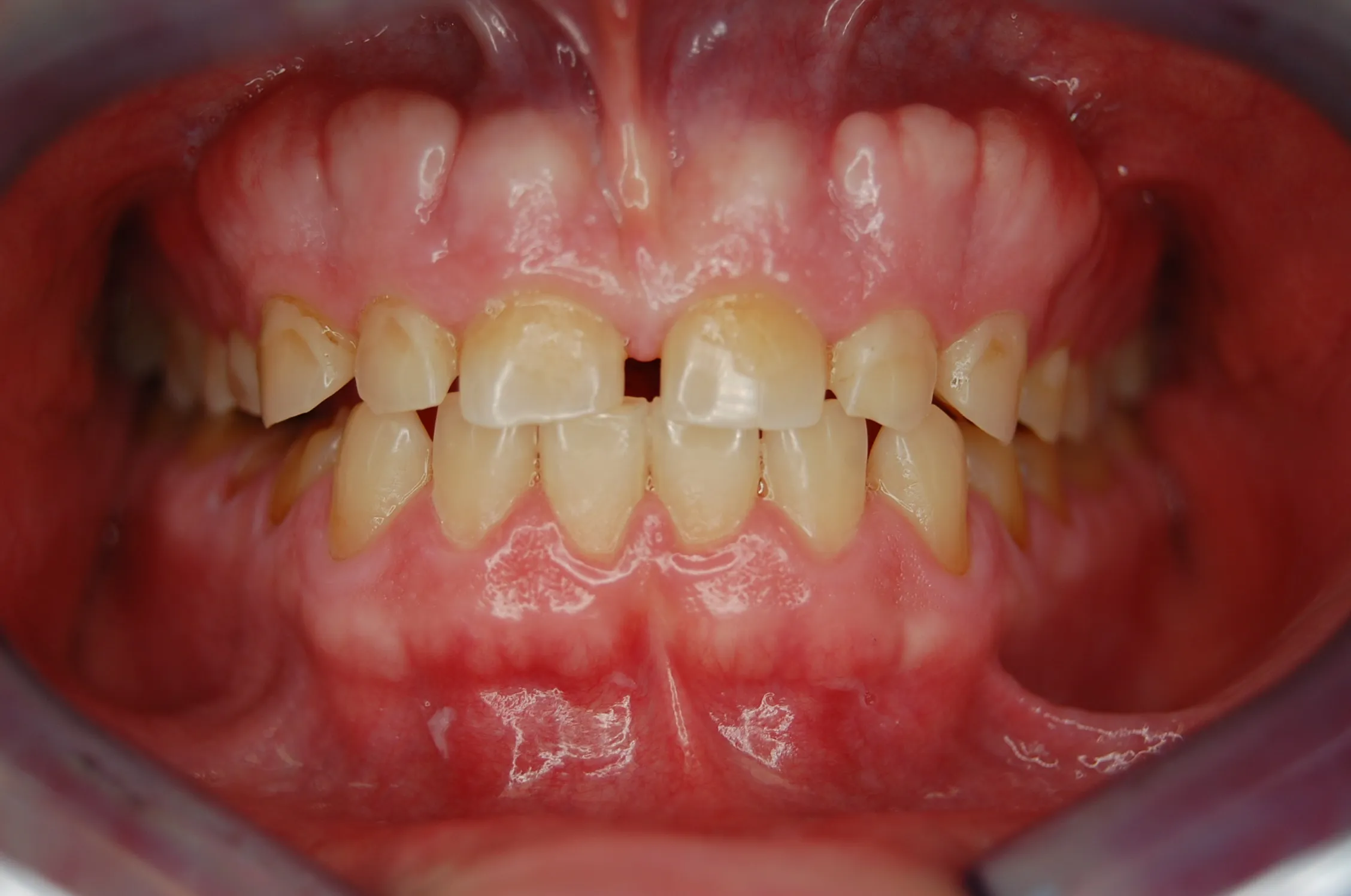
Procedure: Full mouth rehab
Procedure: Crown
Procedure: Full mouth Rehab
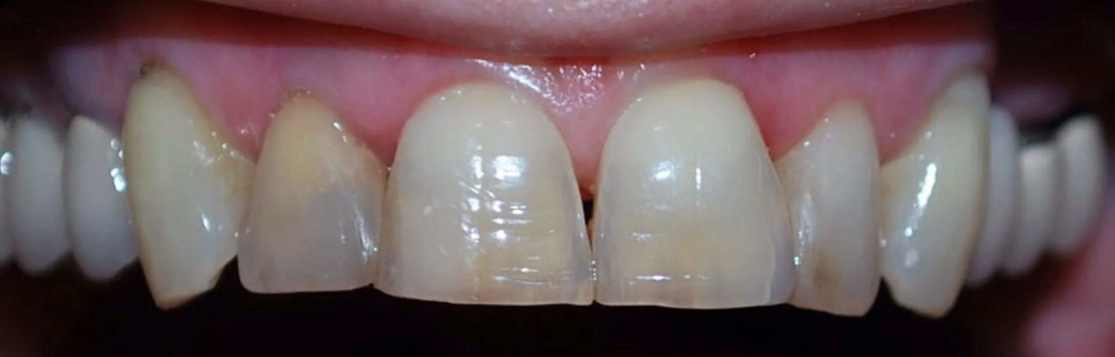
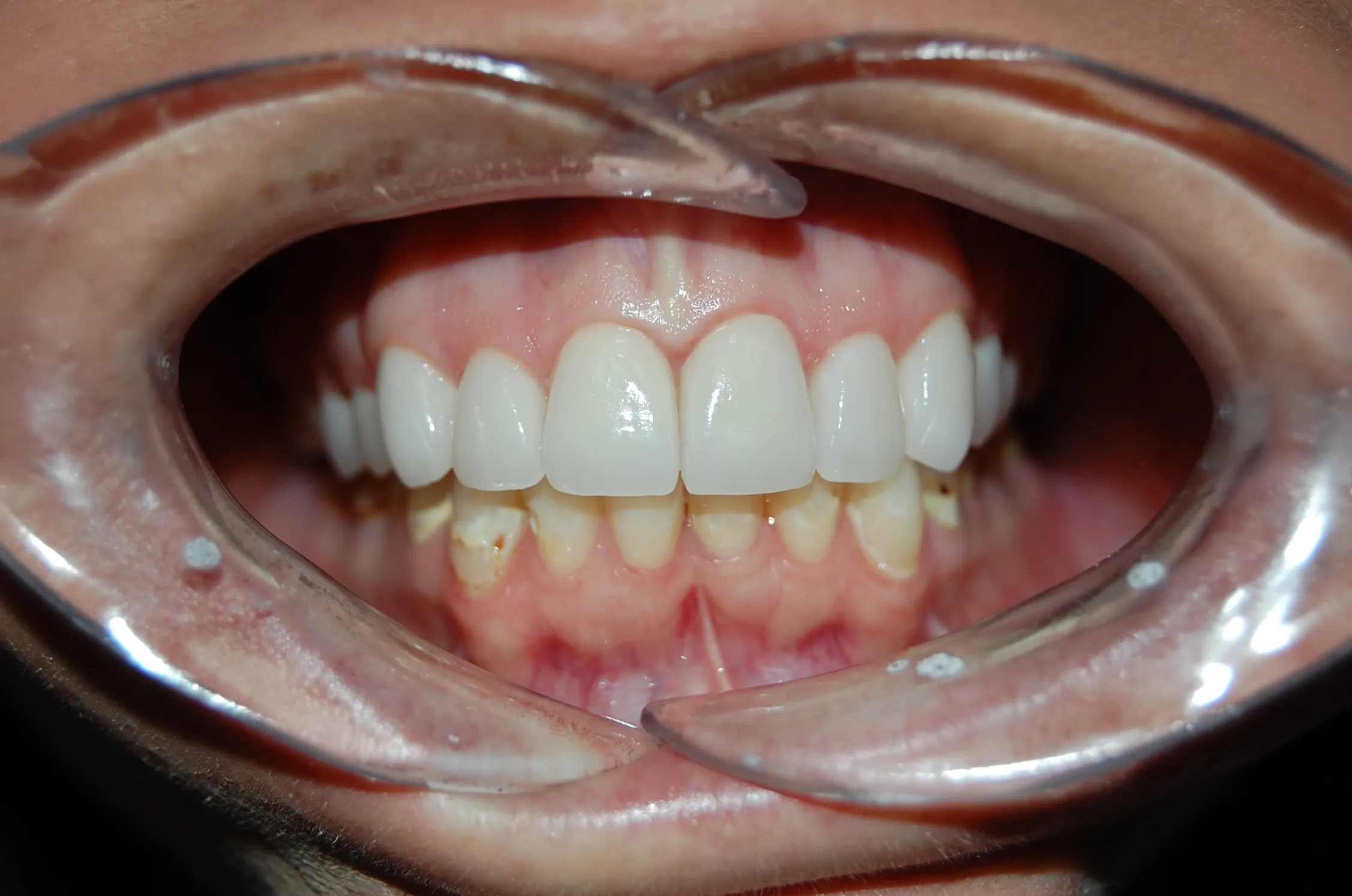
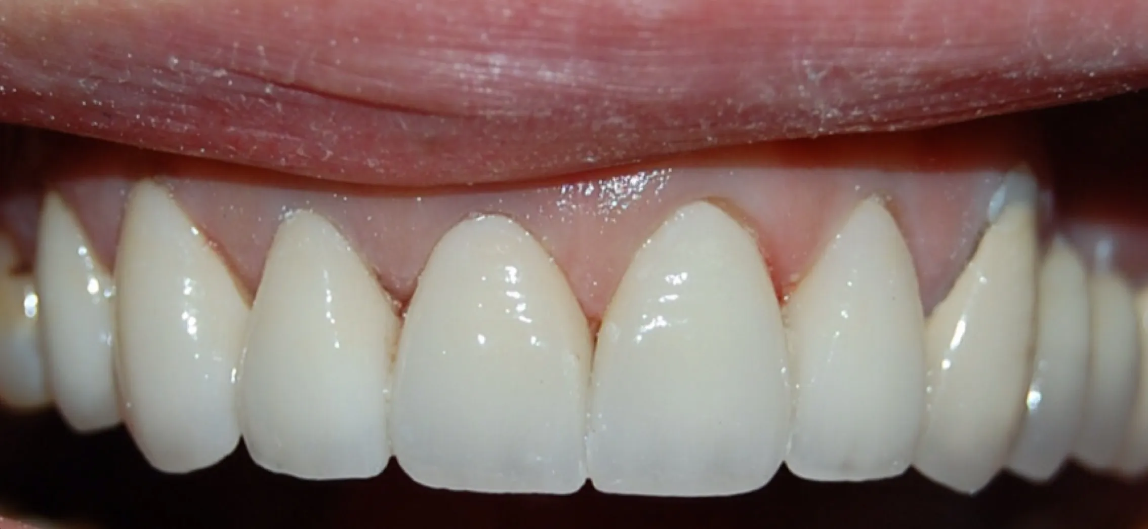
Procedure: Veneer
Procedure: Crown
Procedure: Crown
Procedure: Veneer
Procedure: Tooth colored filling





















Johns Creek Dental Associates is conveniently located at 10220 Medlock Bridge Road in the heart of Johns Creek, making us easily accessible to families throughout North Fulton County. We proudly serve patients from Johns Creek, Alpharetta, Duluth, Suwanee, and surrounding communities. Our modern facility features state-of-the-art technology and a welcoming atmosphere designed to make every visit comfortable and stress-free. Whether you’re seeking routine preventive care, cosmetic enhancements, or restorative treatments, our experienced team is here to help you achieve optimal oral health. Contact us today to schedule your appointment and experience the difference personalized dental care makes.
Mon – Wed
Thurs
Fri
Sat – Sun
8am – 5pm
8am – 3pm
8am – 1pm
Closed
New Patient Promotion:
$99 for Your First Exam and X-Rays.